Shoulder Arthritis Images

 shoulder xray

Normal shoulder AP xray

shoulder arthritis xray 

Arthritic shoulder AP xray

shoulder axillary xray 

 Normal shoulder axillary view xray.

shoulder axillary arthritis xray 

Arthritic shoulder axillary view xray. 

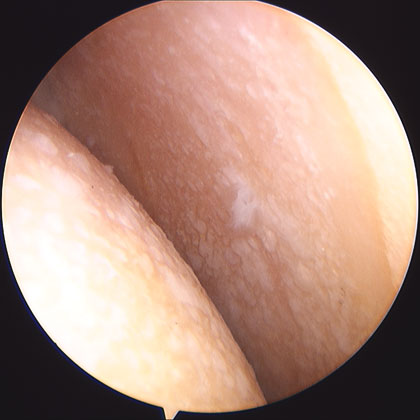
shoulder joint picture

Normal shoulder joint arthroscopic image. 

shoulder arthritis picture

Shoulder arthritis arthroscopic image